医療法人社団 峯友会
木島歯科医院
(千葉市美浜区)
Copyright Kijima dental clinic 2003
このホームページはリンクフリーです。
|
歯周病治療
プロポリスを使った歯周病治療
いかにして歯を抜かないか?
完治が難しいと言われる歯槽膿漏でも治る可能性があります。
審美的にも優れた治療法です。
ソフトレーザーまたはYagレーザーとプロポリス(蜂の巣の成分)を使って、骨を再生する画期的な新しい治療方法です。
オニオン新聞にも紹介されました。
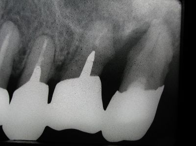
以下の写真は、歯周病で100%抜歯するしかない歯をプロポリスを使って骨再生した例です。
平成17年1月15日

平成17年3月18日

平成17年3月26日

平成17年5月2日

平成13年4月8日

平成14年1月15日(9ヶ月後)

平成16年10月26日(3年6ヶ月後)

平成17年4月19日(4年後)

平成16年6月15日

平成16年8月10日(2ヶ月後)

平成16年9月7日(3ヶ月弱後)

平成16年11月26日(5ヶ月半後)

平成15年4月9日

平成16年6月16日(1年2ヶ月後)

平成16年9月6日(1年5ヶ月後)

平成17年1月13日(1年9ヶ月後)

|
|